Omaç Tüfekçioğlu (TR)
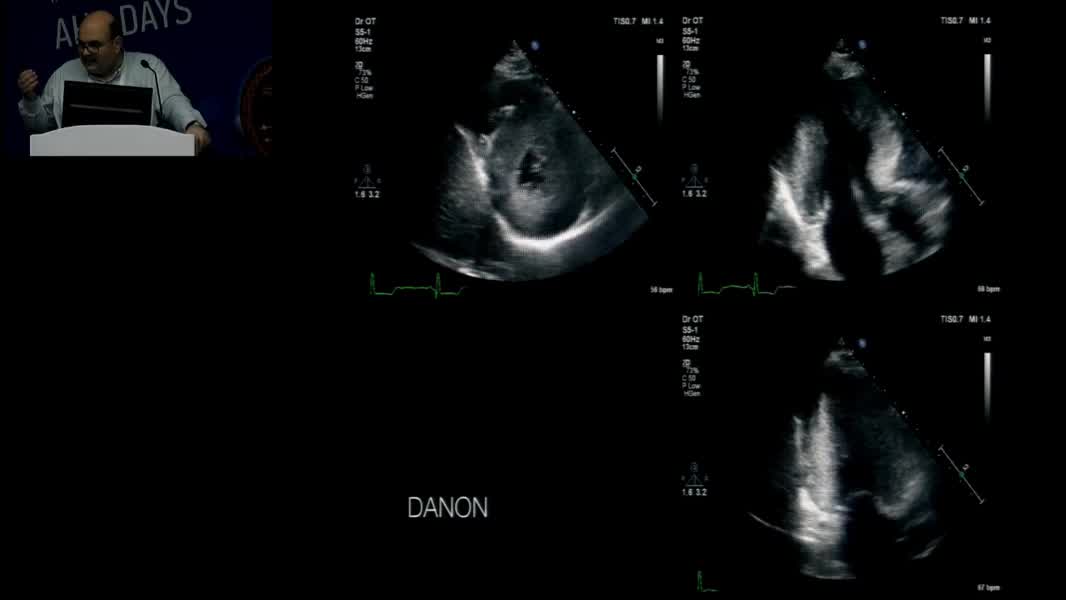
Echocardiographic Face Of Rare Cardiomyopathy And Fabry: Hands On Practical Echocardiography Course In The Diagnosis Of Fabry Disease And Cardiomyopathy Omaç Tüfekçioğlu (TR)
0
Nadir Miyokardiyopati ve Fabry’nin Ekokardiyografik Yüzü